
Annabelle | Fixed Braces
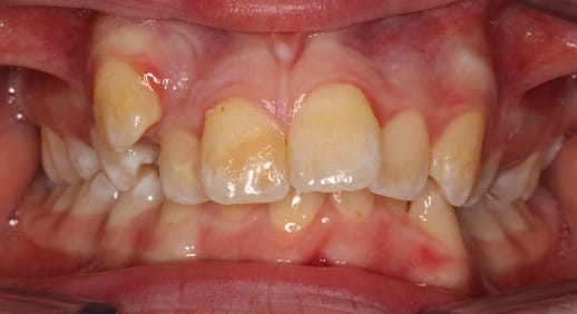
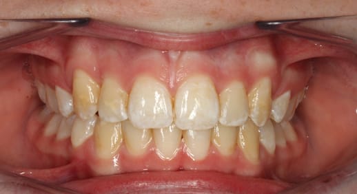
In just 6 months, using a silver fixed appliance, Annabelle’s smile has been beautifully aligned by our team in Taunton.
Get expert advice on Invisalign or braces with a FREE consultation from our Specialist Orthodontist. ONLY 2 SLOTS LEFT
See the difference orthodontic treatment can make in a smile and hear about the Confident Orthodontics experience from our fantastic patients in Taunton.



In just 6 months, using a silver fixed appliance, Annabelle’s smile has been beautifully aligned by our team in Taunton.

With the help of our expert team and fixed braces, we’ve achieved an amazing result for Nadia.

Maria came to our practice for a new smile. Her goal was a brighter, more confident smile. Two of our specialists worked together on her treatment. First, she straightened her teeth with Angel Aligners. Dr. Helen planned this process.

Following a detailed consultation with one of our specialist orthodontists, Ellie-May began upper arch fixed appliance treatment, combined with surgical exposure and bonding carried out by Dr Andy.

After a personalised consultation with our specialist team, Invisalign clear aligners were the clear winner for Giles.

Mary came to Confident Orthodontics looking for a discreet way to improve her smile.
Take a look at some of our patient’s latest smile transformations:




FREE private consultation with our Specialist Orthodontist plus FREE whitening at the end of the treatment. ONLY 2 SLOTS LEFT

ONLY 3 SLOTS LEFT! Book your FREE consultation this month and get up to £250 off on your Invisalign or Fixed Braces treatment + FREE Teeth Whitening!