
Ellie-May | Fixed Appliance Treatment
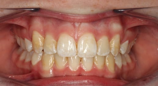
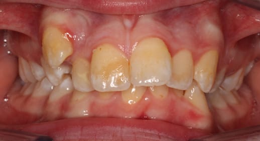
Following a detailed consultation with one of our specialist orthodontists, Ellie-May began upper arch fixed appliance treatment, combined with surgical exposure and bonding carried out by Dr Andy.
See the difference orthodontic treatment can make in a smile and hear about the Confident Orthodontics experience from our fantastic patients in Taunton.

Following a detailed consultation with one of our specialist orthodontists, Ellie-May began upper arch fixed appliance treatment, combined with surgical exposure and bonding carried out by Dr Andy.

After a personalised consultation with our specialist team, Invisalign clear aligners were the clear winner for Giles.

Mary came to Confident Orthodontics looking for a discreet way to improve her smile.

Sean came to Confident Orthodontics with concerns about both spacing and crowding in his smile.
Take a look at some of our patient’s latest smile transformations:
Book your private orthodontic consultation today & start you new smile journey at Confident Orthodontics!
ONLY 3 SLOTS LEFT! Book your FREE consultation this month and get up to £250 off on your Invisalign or Fixed Braces treatment + FREE Teeth Whitening!